Мы сделаем
вашу улыбку
яркой
Настроим вашу улыбку!









Наши ведущие специалисты практикуют уже более 20 лет
Мы оборудованы до зубов и ДЛЯ ЗУБОВ 🙂
Мы не просто любим то, что мы делаем. Мы гордимся и живем этим!
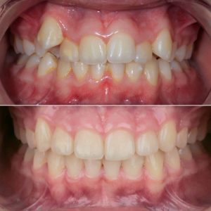
Ортодонтия: здоровье полости рта начинается справильного прикуса
Неправильный прикус и неровные зубы — это не просто эстетическая проблема. Такие нарушения могут привести к серьёзным последствиям для здоровья:
- неравномерной нагрузке на зубы и их преждевременному износу;
- проблемам с жеванием и, как следствие, нарушениям пищеварения;
- повышенной нагрузке на височно‑нижнечелюстной сустав (что может вызывать головные боли и дискомфорт);
- сложности в уходе за зубами (из‑за скученности повышается риск кариеса и заболеваний дёсен);
- изменениям в очертаниях лица и асимметрии.
Ортодонтия решает эти проблемы комплексно: она занимается не только коррекцией положения зубов, но и диагностикой, а также профилактикой нарушений прикуса.
Как мы это делаем?
Опытный ортодонт проведёт тщательную диагностику и подберёт оптимальный метод коррекции именно для вас. В арсенале современных ортодонтических решений:
брекет‑системы — надёжное и проверенное средство для исправления даже сложных случаев;
элайнеры (каппы) — почти незаметные конструкции для более лёгкой коррекции;
функциональные аппараты — специальные устройства для работы с растущим прикусом у детей и подростков; профилактические конструкции для предотвращения развития нарушений.
Что вы получаете в результате?
Здоровые зубы. Ровное положение снижает риск кариеса, стираемости и травм эмали.
Правильное жевание. Равномерная нагрузка начелюсти улучшает пищеварение и снижает риск проблем с суставом.
Простота ухода. Когда зубы стоят ровно, их легче чистить — а значит, дёсны остаются здоровее.
Эстетику без компромиссов. Красивая улыбка повышает уверенность в себе и улучшает качество жизни.
Долгосрочный эффект. Исправленный прикус стабилизирует положение зубов и помогает избежать проблем в будущем.
Доверьте здоровье и красоту вашей улыбки профессионалам: современная ортодонтия предлагает безопасные и эффективные решения для пациентов любого возраста. Запишитесь на консультацию — сделаем первый шаг к здоровой и красивой улыбке вместе!
Перед началом лечения врач проведёт консультацию, расскажет о предварительных сроках и стоимости.
Проведение полной диагностики, включающей рентгеновские снимки и сканирование для изготовления моделей челюстей, обязательно перед началом лечения.
| Услуга | Цена, ₽ |
| Консультация ортодонта | от 2 500 |
| Консультация ортодонта (у врача высшей категории) | от 5 500 |
| Ортодонтическая диагностика | от 5 500 |
| Аппарат для расширения верхней челюсти | от 42 000 |
| Раннее лечение на брекетах (1 челюсть) | от 60 000 |
| Полное лечение на брекетах (1 челюсть) | от 160 000 |
| Полное лечение на брекетах (1 челюсть, у врача высшей категории) | от 200 000 |
| Лечение на элайнерах | от 320 000 |
Имплантация зубов — это высокотехнологичный метод восстановления утраченных зубов, основанный на установке внутрикостного имплантата, выполняющего функцию искусственного корня. Имплантат из биосовместимого материала интегрируется с костной тканью (процесс остеоинтеграции), формируя прочную и стабильную опору для последующего ортопедического восстановления.
После завершения этапа приживления на имплантат фиксируется абатмент и ортопедическая конструкция — коронка, мостовидный протез или полный протез, в зависимости от клинической задачи. Изготовленные с учётом анатомии и прикуса пациента, такие конструкции полностью воспроизводят форму, эстетику и функциональность естественных зубов.
Имплантация позволяет восстановить как один утраченный зуб, так и множественные дефекты зубного ряда, не затрагивая соседние здоровые зубы. Метод обеспечивает равномерное распределение жевательной нагрузки, предотвращает атрофию костной ткани и способствует сохранению гармонии лицевых пропорций.
Перед проведением процедуры выполняется комплексная диагностика, включая рентгенологические исследования и цифровое планирование. Это позволяет точно определить объём костной ткани, выбрать оптимальную имплантационную систему и спрогнозировать долгосрочный результат лечения.
Имплантация является надёжным, функциональным и эстетически совершенным решением, соответствующим современным стандартам стоматологической помощи и обеспечивающим пациенту высокий уровень качества жизни.
Имплантация
| Услуга | Цена, ₽ |
| Имплантация Medentika | от 37 000 |
| Имплантация Straumann | от 52 000 |
| Микроимплант для ортодонтического лечения | от 13 100 |
Стоматологическая хирургия — это специализированное направление клинической стоматологии, ориентированное на проведение оперативных вмешательств в области зубочелюстной системы и тканей полости рта. Основная задача хирургического лечения — устранение патологических процессов, сохранение функциональности зубочелюстного аппарата и создание условий для последующего ортопедического или ортодонтического восстановления.
К компетенции стоматологической хирургии относятся удаление зубов различной степени сложности (в том числе ретинированных и дистопированных), зубосохраняющие операции, лечение воспалительных процессов, удаление кист и новообразований, пластика мягких тканей, операции по наращиванию костной ткани, а также подготовка к имплантации и её проведение.
Каждое вмешательство осуществляется на основании предварительной диагностики с применением современных методов визуализации и клинической оценки состояния пациента. План лечения формируется индивидуально с учётом анатомических особенностей, сопутствующих заболеваний и общего соматического статуса.
Операции проводятся с использованием эффективных и безопасных методов анестезии, что обеспечивает отсутствие болевых ощущений и минимальный уровень стресса. Применение современных хирургических протоколов, атравматичных техник и высокоточного оборудования способствует сокращению сроков реабилитации и снижению риска послеоперационных осложнений.
Стоматологическая хирургия — это комплексный и технологичный подход к решению клинически сложных задач, направленный на достижение предсказуемого функционального и эстетического результата.
Взрослая хирургия
| Услуга | Цена, ₽ |
| Консультация хирурга | 2 500 |
| Удаление постоянных зубов | от 4 000 |
| Удаление ретинированных зубов | от 12 200 |
| Раскрытие ретинированного зуба | от 3 000 |
| Гингивэктомия в пределах 1 зуба | от 3 500 |
Детская хирургия
| Услуга | Цена, ₽ |
| Удаление временных зубов | от 3 700 |
| Пластика уздечки языка/губы | от 9 200 |
Отсутствие зубов — это не только эстетическая проблема, но и нагрузка на весь организм: страдает пищеварение, перегружаются оставшиеся зубы, меняется дикция.
Стоматологическая ортопедия решает эти задачи раз и навсегда. С помощью современных методов протезирования мы:
Съёмные или несъёмные протезы, индивидуальные коронки — выбор за вами, а наша задача — помочь сделать его правильно.
Ортопедия
| Услуга | Цена, ₽ |
| Восстановление зуба вкладкой | от 21 000 |
| Восстановление зуба коронкой | от 30 000 |
| Восстановление зуба виниром керамическим | от 45 000 |
| Съемный бюгельный протез | от 65 000 |
| Протезирование на импланте | от 35 000 |
Терапевтическая стоматология — это базовое направление клинической стоматологии, направленное на диагностику, профилактику и консервативное лечение заболеваний твёрдых тканей зубов и окружающих их структур без хирургического вмешательства. Основная цель терапии — сохранение естественных зубов, восстановление их анатомической формы и полноценной функции.
Ключевыми направлениями терапевтического лечения являются лечение кариеса на различных стадиях, пульпита и периодонтита, а также устранение некариозных поражений эмали и дентина. Особое внимание уделяется эндодонтическому лечению корневых каналов с применением современных инструментов и методов обработки, обеспечивающих тщательную дезинфекцию и герметичную обтурацию каналов.
Восстановление разрушенных зубов осуществляется с использованием высококачественных пломбировочных материалов и эстетических реставраций, позволяющих точно воспроизвести естественную анатомию, цвет и прозрачность эмали. Это обеспечивает не только функциональную полноценность, но и высокую эстетическую составляющую результата.
Своевременное обращение за терапевтической помощью позволяет остановить развитие патологического процесса на ранних стадиях, предотвратить осложнения и избежать более сложных и инвазивных методов лечения в будущем.
| Услуга | Цена, ₽ |
| Лечение кариеса эмали | от 5 100 |
| Лечение кариеса дентина | от 8 200 |
| Функционально-эстетическая реставрация | от 13 200 |
| Композитный винир | от 23 100 |
| Лечение пульпита | от 19 300 |
Детская стоматология — это специализированное направление стоматологической помощи, ориентированное на профилактику, диагностику и лечение заболеваний зубов и полости рта у пациентов детского возраста. Работа с детьми требует учёта возрастных анатомо-физиологических особенностей, этапов формирования прикуса и психоэмоционального состояния ребёнка.
Основными задачами детской стоматологии являются профилактика кариеса и его осложнений, лечение молочных и постоянных зубов, герметизация фиссур, профессиональная гигиена, а также раннее выявление нарушений развития зубочелюстной системы. Важную роль играет формирование правильных гигиенических навыков и мотивация ребёнка к регулярному уходу за полостью рта.
Лечение проводится с применением современных щадящих методик и безопасных анестезиологических протоколов, что позволяет минимизировать дискомфорт и стресс. Особое внимание уделяется созданию доброжелательной атмосферы, постепенной адаптации ребёнка к стоматологическим процедурам и формированию положительного опыта посещения врача.
Комплексный и внимательный подход в детской стоматологии способствует сохранению здоровья молочных зубов, правильному развитию постоянного прикуса и формированию устойчивой привычки заботы о здоровье полости рта с раннего возраста.
Детская стоматология
| Услуга | Цена, ₽ |
| Лечение кариеса временных зубов | от 4 500 |
| Лечение пульпита временных зубов | от 14 000 |
| Герметизация фиссур | от 2 700 |
| Проф.гигиена, молочный прикус | 4 500 |
| Проф.гигиена, сменный прикус | 5 300 |
Пародонтология — это специализированное направление стоматологии, занимающееся диагностикой, профилактикой и лечением заболеваний тканей пародонта — комплекса структур, окружающих и удерживающих зуб (дёсна, периодонтальная связка, цемент корня и альвеолярная кость). Патологические процессы в данной области могут приводить к прогрессирующему разрушению опорного аппарата зуба и его утрате при отсутствии своевременной терапии.
К наиболее распространённым заболеваниям пародонта относятся гингивит, пародонтит и пародонтоз. Воспалительные процессы сопровождаются кровоточивостью дёсен, их отёчностью, образованием пародонтальных карманов, подвижностью зубов и постепенной убылью костной ткани.
Пародонтологическое лечение направлено на устранение воспаления, ликвидацию бактериального фактора, восстановление здоровья мягких тканей и стабилизацию состояния костной структуры. В рамках терапии применяются профессиональная гигиена, закрытый и открытый кюретаж, противовоспалительное лечение, лазерные и другие современные методы воздействия. При необходимости разрабатывается индивидуальная программа поддерживающей терапии.
Своевременное обращение к врачу-пародонтологу позволяет сохранить собственные зубы, предотвратить развитие осложнений и поддерживать не только здоровье полости рта, но и общее соматическое состояние организма, учитывая доказанную взаимосвязь заболеваний пародонта с системными нарушениями.
Парадонтология
| Услуга | Цена, ₽ |
| Профессиональная гигиена | от 7 500 |
| Пластика рецессий десны в области одного зуба | от 20 000 |
Профессиональная гигиена полости рта в нашей клинике проводится по протоколу GBT (Guided Biofilm Therapy) — это современный, научно обоснованный подход к профилактике стоматологических заболеваний. Метод разработан компанией EMS и основан на контролируемом и щадящем удалении зубного биоплёнки, мягкого налёта и твёрдых отложений.
Процедура проводится по чётко выстроенному клиническому протоколу и включает диагностику с индикацией налёта, деликатное удаление биоплёнки и зубного камня с использованием современных технологий, а также финишную полировку эмали. Такой поэтапный подход обеспечивает высокую эффективность при максимальном комфорте пациента и минимальном воздействии на твёрдые ткани зуба и мягкие ткани пародонта.
Профессиональная гигиена по протоколу GBT позволяет:
- существенно снизить риск развития кариеса и заболеваний дёсен;
- уменьшить кровоточивость и воспаление;
- поддерживать здоровье имплантатов и ортопедических конструкций;
- вернуть зубам естественную гладкость и эстетичный внешний вид.
Регулярное проведение процедуры является важной частью комплексной профилактики и основой долгосрочного сохранения здоровья полости рта и уверенной, ухоженной улыбки.
Профессиональная гигиена
| Услуга | Цена, ₽ |
| Профессиональная гигиена | от 5 700 |
| Обучение гигиене | от 3 000 |
Профессиональное отбеливание зубов — это эстетическая стоматологическая процедура, направленная на осветление эмали и устранение пигментации различного происхождения. Потемнение зубов может быть связано с воздействием пищевых красителей, кофе, чая, табака, возрастными изменениями структуры эмали, а также внутренними факторами.
В клинической практике применяются сертифицированные отбеливающие системы на основе активных компонентов, которые воздействуют на пигменты в структуре эмали и дентина, не нарушая целостность твёрдых тканей зуба при соблюдении протокола процедуры. Перед проведением отбеливания обязательно выполняется профессиональная гигиена и оценка состояния полости рта для исключения противопоказаний.
Процедура проводится под контролем врача, с защитой мягких тканей и использованием современных технологий, позволяющих добиться прогнозируемого и равномерного осветления на несколько тонов. При необходимости подбирается индивидуальная программа поддержания результата.
Профессиональное отбеливание позволяет безопасно улучшить эстетику улыбки, вернуть зубам естественную яркость и повысить уверенность пациента в собственной привлекательности.
Отбеливание
| Услуга | Цена, ₽ |
| Химическое отбеливание | 15 000 |
| Аппаратное отбеливание ZOOM 4 | 32 000 |
Лечение под общей анестезией — это комплексное проведение стоматологических вмешательств в условиях медикаментозного сна под контролем врача-анестезиолога. Такой формат позволяет обеспечить не только полное обезболивание, но и абсолютный психоэмоциональный комфорт пациента на протяжении всей процедуры.
Применение наркоза обосновано в случаях выраженной дентофобии, у пациентов детского возраста, при повышенном рвотном рефлексе, невозможности длительного пребывания в кресле, а также при необходимости выполнения большого объёма лечения за одно посещение. Кроме того, данный метод показан при сложных клинических ситуациях, требующих высокой точности и продолжительного времени работы врача.
Лечение проводится с обязательным предварительным обследованием и оценкой общего состояния здоровья пациента. Перед процедурой выполняется консультация анестезиолога, сбор анамнеза и назначаются необходимые диагностические исследования. Во время лечения осуществляется непрерывный мониторинг жизненно важных показателей — сердечного ритма, артериального давления, уровня кислорода в крови и дыхания.
Современные анестезиологические препараты обладают контролируемым и предсказуемым действием, что обеспечивает мягкое введение в медикаментозный сон и комфортное пробуждение. После завершения лечения пациент находится под наблюдением медицинского персонала до полной стабилизации состояния.
Лечение под наркозом — это безопасная и эффективная технология, позволяющая провести стоматологическую помощь качественно, без боли и психологического напряжения, с соблюдением строгих медицинских стандартов и протоколов.
| Услуга | Стоимость, ₽ |
| Наркоз 1 час | 15 000 |
| Последующие 30 минут | 7 000 |
| Наркоз до 30 минут | 9 200 |
| Седация | 2 900 |
| Седация без лечения | 1 350 |
* Данное предложение не является публичной офертой. Указан краткий перечень услуг. Стоимость лечения может меняться в зависимости от сложности лечения, индивидуального плана лечения, необходимости дополнительных услуг. Подробную информацию можно получить на консультации специалистов клиники «БАЛАНС БЕЛОГО».
Образование:
Новосибирский государственный медицинский университет
Опыт работы:
15 лет
Сведения о сертификате:
Сертификат действителен до 29.10.2029
Образование:
Новосибирский государственный медицинский университет
Опыт работы:
15 лет
Сведения о сертификате:
Сертификат действителен до 21.06.2027
Образование:
Новосибирский государственный медицинский университет
Опыт работы:
19 лет
Сведения о сертификате:
Сертификат действителен до 14.07.2028
Образование:
Новосибирский государственный медицинский университет
Опыт работы:
6 лет
Сведения о сертификате:
Сертификат действителен до 23.07.2029
Образование:
Новосибирский государственный медицинский университет
Опыт работы:
12 лет
Сведения о сертификате:
Сертификат действителен до 25.02.2030
Образование:
Новосибирский государственный медицинский университет
Опыт работы:
7 лет
Сведения о сертификате:
Сертификат действителен до 13.01.2031
Образование:
Новосибирский государственный медицинский университет
Опыт работы:
3 года
Сведения о сертификате:
Сертификат действителен до 14.07.2028
Образование:
Новосибирский медицинский колледж
Опыт работы:
11 лет
Сведения о сертификате:
Сертификат действителен до 26.03.2029
Образование:
Новосибирский государственный медицинский университет
Опыт работы:
13 лет
Сведения о сертификате:
Сертификат действителен до 27.02.2029
Образование:
Новосибирский государственный медицинский университет
Опыт работы:
8 лет
Сведения о сертификате:
Сертификат действителен до 23.04.2029
Образование:
Новосибирский медицинский колледж
Опыт работы:
4 года
Сведения о сертификате:
Сертификат действителен до 04.07.2027
Образование:
Новосибирский государственный медицинский университет
Опыт работы:
3 года
Сведения о сертификате:
Сертификат действителен до 13.07.2028
Образование:
Новосибирский медицинский колледж
Опыт работы:
21 год
Сведения о сертификате:
Сертификат действителен до 10.02.2031
Образование:
Новосибирский государственный медицинский университет
Опыт работы:
18 лет
Сведения о сертификате:
Сертификат действителен до 23.04.2029
Образование:
Новосибирский государственный медицинский университет
Опыт работы:
Врач высшей категории, стаж 26 лет.
Сведения о сертификате:
Сертификат действителен до 22.11.2027
Образование:
Новосибирский государственный медицинский университет
Опыт работы:
2 года
Сведения о сертификате:
Сертификат действителен до 16.07.2030
Образование:
Новосибирский государственный медицинский университет
Опыт работы:
25 лет
Сведения о сертификате:
Сертификат действителен до 23.04.2029
Образование:
Новосибирский государственный медицинский университет
Опыт работы:
2 года
Сведения о сертификате:
Сертификат действителен до 13.07.2028
Образование:
Новосибирский государственный медицинский университет
Опыт работы:
2 года
Сведения о сертификате:
Сертификат действителен до апреля 2031
Образование:
Новосибирский государственный медицинский университет
Опыт работы:
6 лет
Сведения о сертификате:
Сертификат действителен до 21.09.2026
Образование:
Новосибирский государственный медицинский университет
Опыт работы:
Врач высшей категории, cтаж 21 лет.
Сведения о сертификате:
Сертификат действителен до 30.01.2029
Образование:
Новосибирский государственный медицинский университет
Опыт работы:
18 лет
Сведения о сертификате:
Образование:
Новосибирский государственный медицинский университет
Опыт работы:
8 лет
Сведения о сертификате:
Сертификат действителен до 25.07.2028
Образование:
Новосибирский государственный медицинский университет
Опыт работы:
9 лет
Сведения о сертификате:
Сертификат действителен до 29.07.2030
Образование:
Новосибирский государственный медицинский университет
Опыт работы:
21 год
Сведения о сертификате:
Сертификат действителен до 02.2030
Образование:
Новосибирский государственный медицинский университет
Опыт работы:
3 года
Сведения о сертификате:
Сертификат действителен до 12.07.2027
Спасибо Татьяне Александровне за мою улыбку. Благодаря вам я могу не стесняясь улыбаться, исчезли проблемы со сколами зубов(из-за неправильного прикуса), исчезли проблемы с деснами(зубы выстроились в ровные ряды, ничего не забивается), а главное эффект сохраняется уже третий год и есть тенденция к сохранению результата и дальше. Это был мой второй опыт ношения брекетов, к сожалению подход первого доктора в другой клинике лет 15 назад не позволил сохранить результат. Оттого моя благодарность к результату лечения у Татьяны Александровны еще больше. Процветания вам! Спасибо!
Про Хожая
Прекрасная ортодонтия, дочери здесь поставили брекеты, скоро уже будем снимать, улыбка красивая 🙂 Брекеты ни разу не слетали. Дочка чистила зубы без проблем, как научили. Один из винтов, к сожалению, два раза выпал, но каждый раз меняли по гарантии, и свою роль винты выполнили. Мы начинали лечение у стажёра Екатерины (но она ушла в декрет), а продолжаем у Аси Викторовны (директора). Оба врача очень дружелюбные и спокойные, объясняют понятно, все нравится
Елизавета Вайсман
3,5 года меняли прикус с Кузнецовой Асей Викторовной, я очень рада, что выбрала именно этого профессионала! Сочетание консервативно-осторожной позиции и новейших методик для меня оказалось, что надо. Носила мини-импланты и сохранила 2 зуба, в то время как другие ортодонты говорили удалять. Ася Викторовна ориентирована только на сохранение здоровья клиента и лучший результат.
Anna Smolskaya
Смотрю, как радуются люди снимая брекеты через 2 года.
Расскажу свою историю. Сначала я лечилась 1,5 года у другого доктора, но спустя 1,5 года она сказала, что больше ничего сделать нельзя и мой клык надо удалять (при этом почти 100% будет вывихнут еще и 2-ой зуб), ставить на его место костную ткань (она может и не прижиться) и если она приживется, то имплант.
Вот тут я здорово напугалась.
Ближайшая запись на операцию была через 2 недели.
Я не стала терять времен, начала искать врача с другим взглядом на мою проблему. Но… за меня никто не решался браться (я прошла 5 или 6 клиник нашего города, не мелких).
И вот последняя надежда…. Татьяна Александровна. Знакомый сказал, что если она откажется, то значит действительно ничего нельзя сделать. Поехала я с Родников в Академ. Поездить пришлось 5.5 лет))) за эти годы было многое) и резинчки, и мини-имплант и… много всего, но результат стоить того.
Мои родной клык теперь украшает мою улыбку, а люди завидуют (в открытую) моей улыбке.
Таня, спасибо огромное за труд, за то, что тебе удается людей, потерявших веру в положительный исход, убедить в том, что все получится, и сделать так, что люди понимают, что верили не зря!!!
eakorolkova2017
Хочу сказать большое спасибо,замечательной зубной фее- Ефимовой Александре Андреевне, и её помощнице Юлии. Сегодня первый раз лечили зубы сыну, я очень переживала, но как оказалось зря, прошло всё просто замечательно. Внимательное и чуткое отношение, любимые мультики и подарки после лечения, и как результат-здоровые зубки и желание вернуться в эту замечательную клинику ещё.😀👍
elen8100
В баланс белого мы пришли с малышкой 3х лет по рекомендации. Лечение проходило под седацией (севоран). Александра Ефимова наш стоматолог, ну какой же шикарный профессионал💛Ребёнок к ней на прием идёт с удовольствием. Анестезиолог до начала лечения подробно рассказал все этапы лечения и находился с нами всё время, пока ребёнок просыпался после наркоза-огромнейшая благодарность за Ваш профессионализм и наше спокойствие, Олег Анатольевич! (Выбирая между популярной сетью клиник и ББ, мы не прогадали👏🏼Стоимость лечения обошлась в 2 раза меньше, а качество, сервис и профессионализм на высшем уровне😌🤌🏼) В общем я так довольна-так довольна🥳
Юлия Теплицкая
Делать то, что любишь и умеешь — большая удача!
18 лет работы — наше профессиональное совершеннолетие. Из них почти 10 лет мы мечтали о собственной ортодонтической клинике. Мы побывали в разных клиниках мира, посетили десятки конференций и семинаров, познакомились с лучшими специалистами! Взяли для себя самое полезное и прогрессивное!
Опыт, знания, идеи, впечатления — всё это служит зажигательной смесью, двигающей нас вперед.
Наша цель — мировая ортодонтия!
Ждём вас с 09:30 до 20:30 без выходных